矯正歯科
矯正歯科

歯並びが気になるけど何を基準に選べばいいのかわからない・・・。
治す装置が使えるか不安だ。
そもそも矯正治療した方がよいのかもよくわからない。
こんなお悩みに当院では担当ドクターがお答えしております。
当院では「一人ひとりに合わせた歯科矯正治療」を行っています。
正しい診断や情報を得て、納得できる治療を受けるためにも、当院へお気軽にご相談ください。

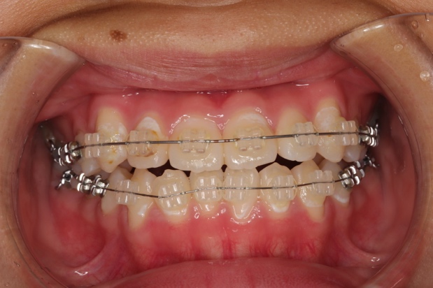
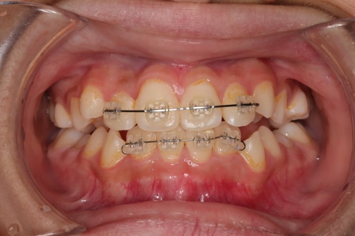
ワイヤー矯正は、マルチブラケット装置を用いた矯正治療です。
歯の表面にブラケットという装置を装着し、それに結びつけるワイヤーやゴムの力を利用して歯を並べていきます。
歴史もながくノウハウがすでに熟成されており、成人の矯正治療の主流となっております。
昨今ではマウスピース矯正もシェアを伸ばしてきておりますが、それでも未だ多くの場面で幅広く使われている装置です。
歴史のある装置で様々な症例、治療法が存在します。対応できる症例の幅は最も広いと考えられます。
当院では目立つ前歯にはセラミックの白いブラケットを用いておりますが、それでも見た目や歯磨きの難しさには少し注意が必要となります。
そのあたりが気になる方はマウスピース矯正などを検討していただくこともあります。

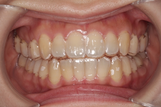
マウスピース矯正とは、透明で取り外し可能なマウスピースを用いて行う矯正治療方法です。
矯正装置自体が透明なので装着しても目立ちにくく、取り外しが可能です。そのため食事や歯磨きが普通に行え、矯正装置の洗浄も簡単なため衛生的です。
マルチブラケット装置(ワイヤー矯正)と違い、治療中も食事や歯磨きが今まで通りに行えます。
また、矯正装置自体が透明でほぼ目立たないので、お仕事や日常生活で装置がついていることが気になってしまう方には最適です。
通院頻度は1〜3ヶ月に一度となることが多く、ワイヤー矯正に比べて通院回数は少なくなります。
骨格的な不正が強いケースなど、一部使用できないケースはあります。
ちなみに当院では抜歯を伴うケースでも対応可能と判断した場合は、マウスピース矯正をご案内できます。
※マウスピース型カスタムメイド矯正歯科装置(製品名:インビザライン)は未承認完成物薬機法対象外の矯正歯科装置、医療機器法および歯科技工法上の対象外の矯正歯科装置に該当し、医薬品副作用被害救済制度の対象外となる場合があります。
お子さんの歯並びの矯正治療には、
【Ⅰ期治療】と【Ⅱ期治療】という2つのステージがあります。
乳歯と永久歯が混在する時期に行います。
歯がきれいに並ぶスペースを作ったり、顎骨の成長を促したりして出っ歯や受け口などを治療していくことが目的です。
永久歯(親知らずを除く)がすべて生え揃った後に歯並び全体を整えます。
「Ⅰ期だけ」「Ⅱ期だけ」で済むケース、「Ⅰ期からⅡ期に進む」ケースなど、治療内容やタイミングはお子さんごとに異なります。
当院ではいつ始めるのがよいかも最初の初診相談にてご案内しております。

歯列を広げて歯の生えるスペースをつくる着脱式の装置です。お子さん自身で取り外し可能なので、比較的負担が少ないのが特長です。

下顎の前方成長を促す装置で、特に出っ歯の治療で用いられることが多いです。口の筋肉の力を利用するので、機能的矯正装置と呼ばれます。

反対咬合(受け口)の治療に使用する装置で、上顎を前に引っ張ることで前方への成長を促します。ご自宅でご使用いただきます。

歯を並べる以外に、お口周りの筋機能トレーニング効果もあります。歯型取りが不要で、患者さんも扱いやすいのが特徴です。

固定式のワイヤー矯正装置装置です。子供の矯正治療では前歯だけなど、部分的に装着して使用します。
Ⅱ期治療は大人と同じ矯正装置、マウスピース矯正やワイヤー矯正など、より本格的な歯列矯正に進みます。
Ⅰ期治療を行っていた場合、治療がスムーズに進むので、治療期間が短いケースも多くあります。